Radiografías, Imagenes de Cavum Rinofaringeo
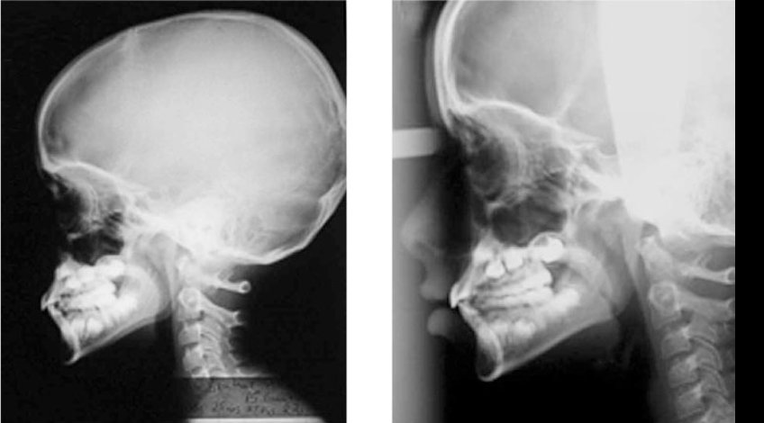
El cavum es el techo de la faringe, situado en la nasofaringe, donde se encuentran las amígdalas faríngeas y las adenoides. Este examen también denominado RLC, en los estudios radiografía lateral de nasofaringe o de cuello, evalúa el tamaño del tejido adenoideo de la faringe y de las amígdalas palatinas y su eventual repercusión sobre la amplitud de la vía aérea. Su principal indicación es en el estudio de niños que respiran por la boca, y en aquellos con otitis media a repetición.
Las adenoides se hacen evidentes a los seis meses de vida y aumentan rápidamente durante los primeros 6 a 8 años.La ausencia de ésta en niños mayores de 6 meses sugiere una inmunodeficiencia.
Durante una radiografía de cráneo, es posible que le pidan que se acueste en una mesa o se siente en una silla. El tecnólogo lo ayudará a mover la cabeza en diferentes posiciones para capturar varias imágenes de rayos X.
Contáctenos
Para agendar puedes comunicarte con nosotros a los celulares (llamada o mensaje via whatsapp).
Lun - Vie: 9:00 hrs. a 18:00 hrs. +569 4243 2992 / +569 4186 7490
Sábados: 9:00 hrs. a 13:00 hrs. +569 4243 2992
